最近,能在满屏世界杯话题中刷出一席之地的电影,也就是《我不是药神》了。日益高发的癌症、救命稻草一样的专利药、无力承担的天价,让普通人的生存焦虑空前具体。在国内卖4万一
最近,能在满屏世界杯话题中刷出一席之地的电影,也就是《我不是药神》了。日益高发的癌症、救命稻草一样的专利药、无力承担的天价,让普通人的生存焦虑空前具体。

在国内卖4万一瓶的正版抗癌药,说到底还是少数人的特权。对于天价抗癌药带来的绝望,《我不是药神》基本将大众情绪导向了无良药企、奸商,但药企研发一款证实有效的新药,动辄耗费数十亿美元、几十年时间的巨额成本,且要在有限的专利期内(一般来讲是20年)收回成本,平白凭“良心”亏本降价,也是不太可能,反而会导致企业无力再投入新药研发。
说穿了,大幅降低研发成本,才是降低专利药药价、也是普通人享受前沿医疗服务的根本之道。而能承担起这个使命的,眼见的希望,或者就是人工智能。

化学合成、药物筛选、数据分析……人工智能在新药研发诸多环节中都有巨大的提效潜力。以化学合成为例,今年 3 月,上海大学Mark Waller教授团队的文章在Nature上发表。他们应用深层神经网络及人工智能算法,成功地规划了新的化学合成路线。据说这款软件达到了权威的合成化学家的水平。
再往上游追溯,对于疾病的早期诊断是新药研发的重要依据。在这一点上,人工智能也已经发挥了很大作用。以食管癌的早期诊断和靶向药研发为例,2015年,国内AI领军企业百度与协和医院开展了一项肿瘤研究。结合北京协和医学院的医学研究优势、百度大数据与人工智能技术优势,在巨大的样本量中发现与中国人密切相关的食管癌早期诊断的标志物,为食管癌的早期筛查和诊断提供科学依据,并为食管癌药物的研发提供靶标。

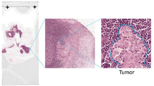
另外,百度研究院近日发表论文提出一种名为“神经条件随机场”的全新病理切片分析算法,将肿瘤识别定位准确率大幅提高。据悉,在公开数据集Camelyon16大赛测试集上,该算法的肿瘤定位FROC分数达到0.8096,超过专业病理医生水平以及由哈佛和麻省理工学院联合团队所保持的最好成绩。

关于人工智能+新药研发、医疗,百度等AI巨头们还在谋求更多的落地。除了病理学切片分析方面的研究,百度也在探索AI在眼底影像、放射影像、以及智能问诊等其他一些医疗领域的应用。
在前几天的百度开发者大会上,百度CEO李彦宏现场连线了援藏医生陈静飞,展示了一套基于百度 Al 技术的寄生虫识别系统。具体而言,凭借着百度 AI 技术的深度学习能力,陈医生得以在短短几个月内建立了一套寄生虫识别系统,可以识别 10 多种寄生虫虫卵,其中几种在小范围 I 后床检验试点里识别准确率稳定在 97 %以上,媲美 20 年临床经验专家。至于具体用途,这套系统可以帮助基层医生用显微镜识别家生虫虫卵,提高了基层医生的医疗能力,节省了牧民奔波数百公里求助医院的时间。

也是在百度 AI 开发者大会上,由至真健康联合百度共同定义、深度开发的眼病AI筛查解决方案也精彩亮相,为医疗行业提供优质、平价的眼病AI筛查服务。百度医疗大脑与至真健康合作,借助百度医疗大脑视觉语义化等先进技术,打造眼病AI筛查解决方案,目前已实现了对糖尿病性视网膜病变的DR/DME的精准分级,对病灶的精确定位和像素级量化分割,各项性能指标均得到行业权威医疗专家的认可。
人工智能距离“药神”,好像越来越近了。

在《我不是药神》中,一位白血病患者在哀求警察不要继续追捕走私印度仿制药的人的时候,所说的话更是让每一个老百姓动容:
“我生病吃药这些年,房子被吃没了,家人被吃垮了。警察领导,谁家没个病人,你能保证一辈子不生病吗?”
朴素而让人心痛的台词,恰恰是对中国社会现实之追问的最强音。
特鲁多医生的墓志铭说,作为医生,他“偶尔治愈,常常帮助,总是安慰”,每一个平凡人在面临癌症等等生命威胁时,起码应该能看到安慰和希望。人工智能的介入,无论是为新药研发,还是为癌症等疾病的早期诊断与筛查,都提供了极大助力。让AI加速医学研究、新药研发,降低医疗服务和新药的成本,让更多普通人享受前沿医疗服务,必定会让社会中医疗资源的配置更加平等,重要的是,带来希望。
评论区(0)